МР-томограммы поясничного отдела позвоночника
Магнитно-резонансная томография — высокоинформативный метод диагностики, способный выявить целый ряд патологий. Одно из показаний к проведению МРТ — боли в спине, появляющиеся при проблемах с мышцами, суставами, нервными окончаниями позвоночника и на фоне заболеваний внутренних органов.
Чаще всего неприятные ощущения возникают:
- после травм;
- при мышечном перенапряжении;
- при спазме околопозвоночной мускулатуры в результате избыточной нагрузки на спину;
- после длительного пребывания в одной позе;
- при неподготовленных движениях во время занятий спортом;
- вследствие растяжения или повреждения мышц;
- после переохлаждения и нахождения на сквозняке.
Болевой синдром в спине вызывают:
- врожденные аномалии и приобретенные патологии позвоночника (клиновидный дефект, расщепление позвонков, спондилолиз, сколиоз, спондилолистез и др.);
- остеохондроз — дегенеративные изменения хрящевой ткани межпозвонковых дисков с образованием грыж;
- спондилоартроз — деструктивно-дистрофическое заболевание дугоотросчатых и реберно-поперечных суставов;
- спондилоартрит — воспаление дугоотросчатых межпозвонковых суставов;
- острая, подострая, хроническая компрессии нервных корешков и сосудов спинного мозга;
- остеопороз — снижение плотности костной ткани (при длительных статических нагрузках болит в грудном и поясничном отделах позвоночника);
- спондилит и спондилодисцит — воспалительно-дегенеративное заболевание межпозвонковых дисков и смежным им позвонков специфического (туберкулез, сифилис и пр.) и неспецифического характера (иная бактериальная инфекция);
- остеомиелит — гнойно-некротическое поражение костных тканей позвоночника;
- первичные и метастатические опухоли внутренних органов, позвоночника и спинного мозга;
- сердечно-сосудистые патологии (инфаркт миокарда, ишемическая болезнь сердца и пр.);
- острые заболевания респираторной системы (пневмония, разрывы булл при эмфиземе легких и пр.);
- заболевания ЖКТ (пенетрирующая язва желудка, острый холецистит, острый панкреатит и др.);
- болезни органов малого таза;
- тревожные расстройства, депрессия, истерия.
Поводом к назначению МРТ могут стать не только боли в спине, но и потеря чувствительности конечностей или туловища.
На снимке МРТ представлен поясничный остеохондроз, стрелками обозначен пораженный диск с формированием спондилодисцита
Болит спина: МРТ какого отдела нужно делать
С учетом характера проблемы невролог может назначить магнитно-резонансную томографию одного отдела позвоночника или проведение комплексного обследования. Сканирование зоны с выраженным болевым синдромом не всегда позволяет поставить точный диагноз, в некоторых случаях целесообразно проверить все области спины.
По снимкам можно получить представление о:
- размерах и форме тел позвонков;
- высоте и плотности дисков;
- диаметре спинномозгового канала;
- структуре спинного мозга;
- состоянии позвоночного столба (физиологические изгибы, искривления);
- толщине связок;
- состоянии межпозвонковых суставов;
- наличие патологических образований любой природы.
Опухоль спинного мозга на МР-томограмме (обозначена стрелкой)
При помощи МРТ-диагностики выявляют различные нарушения:
- смещение позвонков;
- протрузии и грыжи межпозвонковых дисков;
- патологии развития позвоночного столба;
- поражения спинного мозга;
- новообразования;
- последствия травм (трещины и переломы тел позвонков);
- дегенеративные и дистрофические изменения;
- воспалительные процессы.
На основании полученных результатов рентгенолог делает предварительное заключение. Постановкой окончательного диагноза и разработкой плана терапии занимается лечащий врач. Если МРТ позвоночника не обнаружила причину болей в спине, проводят дополнительное обследование внутренних органов, патологии которых могут их вызвать.
МРТ при болях в пояснице
На поясничный отдел позвоночника приходится максимальная нагрузка, поэтому в данной зоне спина болит чаще всего. Обычно возникает недомогание при резких движениях, после травм, поднятия тяжестей, при долгом нахождении в одной позе, после переохлаждения. Боли могут различаться по характеру и интенсивности. Нередко они иррадиируют в бедро, голень, стопу и сопровождаются ощущениями покалывания, онемения, бегающих мурашек, жжения.
МРТ делают при постоянных болях в пояснице и появлении других симптомов:
- ослаблении или утрате чувствительности и двигательных функций нижних конечностей;
- онемении, “прострелах” в ногах;
- дискомфорте при ходьбе и в положении сидя;
- нарушении работы кишечника или мочевого пузыря, сопровождающиеся болями в пояснице, крестце, промежности и ягодицах.
Магнитно-резонансную диагностику проводят при подозрении на опухоли, пороках развития позвоночника, в рамках предоперационного обследования и для контроля лечения.
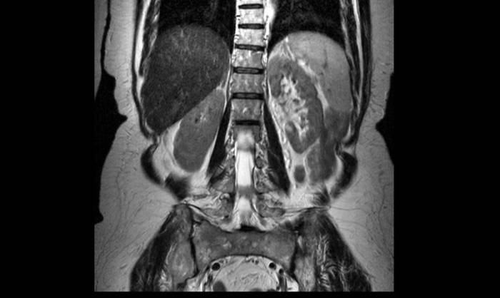
МР-томограмма поясничного отдела позвоночника
Исследование показывает:
- последствия травм (трещины, переломы);
- проблемы с межпозвонковыми дисками (протрузии, грыжи, секвестрация, разрывы, дегенеративно-воспалительные процессы, защемление нервов и др.);
- стеноз (сужение) спинномозгового канала;
- доброкачественные новообразования (гемангиомы, невриномы, менингиомы и пр.), злокачественные опухоли и метастазы области интереса (окончательный вывод о характере патологии делают после биопсии);
- потерю костной массы;
- воспаление суставов (артриты);
- деструкцию позвонков (спондилит);
- нарушение кровообращения в зоне поясницы;
- врожденные дефекты позвонков.
МРТ при боли в грудном отделе
Данный отдел позвоночника самый большой, здесь насчитывается 12 позвонков. Патологии и аномалии в рассматриваемой зоне могут стать причиной постоянных болей и ограничения подвижности, ухудшающих качество жизни.
На МРТ направляют при:
- болевом синдроме, чаще в межлопаточной области;
- чувстве скованности, онемения в области грудной клетки;
- “прострелах” в спине;
- неприятных ощущениях после травмы;
- признаках поражения спинного мозга (ухудшении подвижности тела, подергивании мышц спины и живота, затруднении дыхания, слабости и онемения в обеих ногах одновременно и др.);
- при болях в левой половине грудной клетки, после исключения патологии со стороны сердца.
На МР-изображении стрелками показан ушиб шестого грудного позвонка (визуализируется отек костных структур без деформации тела позвонка)
В грудном отделе, как и в случаях, когда болит поясница, МРТ выявляет:
- остеохондроз;
- межпозвонковые грыжи и протрузии;
- врожденные аномалии развития костных и мягких тканей;
- опухоли и метастазы;
- стеноз позвоночного канала;
- сдавление и нарушения кровоснабжения спинного мозга;
- воспалительные процессы.
МРТ при боли в шейном отделе
Самая частая причина болей в шее связана с гипертонусом мышц, возникающим при некоторых состояниях и заболеваниях. Напряженность может появиться при:
- остеохондрозе;
- грыжах, в том числе секвестрированных, и протрузиях межпозвонковых дисков;
- переломах, трещинах и вывихах позвонков;
- травмах и растяжениях мышц шейного отдела;
- общих переохлаждениях и нахождении на сквозняке без шарфа;
- паркинсонизме;
- ряде инфекционных заболеваний.
При гипертонусе мышц человек испытывает боли давящего или ноющего характера, распространяющиеся на голову или область плеч. При попытках согнуть шею неприятные ощущения резко усиливаются. Болезненность мешает нормальным движениям.
Кроме этих симптомов есть и другие показания к тому, чтобы сделать МРТ:
- регулярные головные боли;
- слабость, ощущение ползания мурашек в руках;
- головокружения;
- частые обмороки;
- помутнение и “мушки” в глазах;
- ухудшение слуха;
- шум, свист, пульсация в ушах;
- шаткость походки;
- хроническая усталость.
На МР-томограмме представлен остеохондроз шейного отдела позвоночника с формированием задней грыжи диска между пятым и шестым шейными позвонками, сдавливающий позвоночную артерию: стрелкой указан сформировавшийся в итоге участок инфаркта (нарушения процесса кровообращения) спинного мозга
Процедура магнитно-резонансной томографии помогает диагностировать ряд патологий шейного отдела позвоночника, при которых может болеть спина:
- новообразования и метастазы;
- остеохондроз;
- протрузии дисков и межпозвонковые грыжи;
- компрессию спинного мозга;
- защемление нервных окончаний;
- спондилит, спондилоартрит;
- аномалии развития шейных позвонков;
- нарушение кровообращения;
- стеноз спинномозгового канала;
- ослабление кровотока в тканях;
- остеомиелит, в том числе туберкулезный, тел позвонков и воспаление дисков;
- гематомы на поздней стадии;
- шейный миозит;
- рассеянный склероз, сирингомиелию и прочие дегенеративные заболевания спинного мозга;
- трещины, переломы позвонков.
При боли в спине что лучше: КТ или МРТ
Пациентов, у которых болит спина, интересует вопрос — делать МРТ или КТ? Выбор диагностического метода остается за специалистом. Более безопасной считается магнитно-резонансная томография, так как во время исследования человек не подвергается облучению.
При острых травмах с повреждением тел позвонков рекомендуется сделать КТ, так как компьютерная диагностика лучше показывает костные ткани. Данный вид обследования применяют, если пациент не может длительное время сохранять неподвижность и при противопоказаниях к МРТ.
Когда нужно изучить состояние спинного мозга, сосудов, выявить наличие межпозвонковой грыжи, следует сделать магнитно-резонансную томографию, которая прекрасно визуализирует мягкие ткани.
В ряде случаев для изучения одной и той же области могут потребоваться сразу оба исследования.
Сравнение компьютерной и магнитно-резонансной томограмм
Может ли болеть спина после МРТ
Процедура магнитно-резонансной томографии позвоночника длится от 30 минут до часа. Это время обследуемый должен не шевелясь провести в горизонтальном положении. Некоторым пациентам трудно пройти диагностику, так как больно лежать на спине.
Неприятные ощущения могут быть физиологическими (из-за невозможности сменить позу) либо являться следствием заболеваний мышечно-хрящевых или костных структур позвоночника. Вероятность появления болей в спине после МРТ высока при:
- остеохондрозе, артрозах;
- острых воспалительных процессах (спондилит);
- межпозвонковых грыжах, локализованных в пояснично-крестцовом отделе позвоночника.
Подготовка пациентки к МРТ позвоночника
Если болевой синдром выражен достаточно сильно, пациенту нужно, не дожидаясь окончания сканирования, нажать “тревожную кнопку” для прекращения процедуры.
Цены на МРТ позвоночника в СПб
Источник
Поскольку большинство случаев боли в пояснице не связано с единственной причиной, а являются неспецифическими, томография требуется далеко не всем пациентам, обращающимся за помощью.
За исключением случаев полученной травмы, предпочтительно проведение магнитно-резонансной томографии (МРТ) пояснично-крестцового отдела позвоночника.
При боли в спине исследование срочно проводится пациентам с развитием грубых и нарастающих неврологических нарушений, а также тем, у кого ранее были выявлены злокачественные опухоли с возможностью распространения в позвоночник и другие заболевания, вызывающие поражение или разрушение позвонков (миеломная болезнь, выраженный остеопороз).
МРТ пояснично-крестцового отдела позвоночника проводится в следующих случаях:
- Развитие синдрома «конского хвоста» — нарушение функции мочевого пузыря и прямой кишки (задержка мочи), седловидная анестезия, двусторонние слабость и онемение нижних конечностей. Синдром «конского хвоста» является неотложным состоянием.
- Подозрение на сдавление спинного мозга: нарушения чувствительности, которые распространяются снизу вверх в сочетании нарушениями мочеиспускания и дефекации, пирамидными знаками с нижних конечностей (симптом Бабинского, клонноидный рефлекторный ответ).
- Прогрессирующие или тяжёлые неврологические нарушения (выпадения чувствительных и двигательных функций).
- Клинические и/или лабораторные признаки инфекционного воспаления (субфебрилитет/лихорадка; лейкоцитоз, повышение СОЭ и/или концентрации С-реактивного белка) без чёткой установленной причины.
- Корешковые нарушения чувствительных и двигательных функций в соответствии со следующим набором (как изолированно, так и в сочетании) (см.таблицу)
- Если этих нарушений нет, МРТ проводится когда продолжительность боли составляет не менее 4-6-ти недель (у большинства пациентов, боль в спине проходит в более короткие сроки, а МРТ не даёт точной информации о причине боли).
Наиболее распространённые области распределения боли при поражении корешков спинного мозга
Клинические признаки поражения корешков спинного мозга
| Корешок | Распространение боли | Область снижения чувствительности | Снижение силы мышц |
|---|---|---|---|
| L1 | Паховая область | Паховая область | Сгибания бедра (редко) |
| L2,3,4 | Боль в спине,иррадиирующая в переднюю поверхность бедра, периодически — в нижнюю поверхностьмедиальной части бедра | Передняя поверхность бедра, редко медиальная поверхность нижней части бедра | Сгибание бедра, отведение бедра, разгибание в коленном суставе |
| L5 | Боль в спине,иррадиирующая в ягодичную область, по латеральной поверхности бедра,латеральной поверхности голени, тыльной поверхности стопы, в большой палец | По латеральной поверхности голени, тыла стопы, межпальцевом промежутке между I и II пальцами стопы | Отведение в тазобедренном суставе, сгибание в коленном суставе, тыльное сгибание стопы, сгибание и разгибание пальцев стопы, супинация и пронация стопы |
| S1 | Боль в спине,иррадиирующая в ягодичную область, в латеральную или заднюю поверхность бедра, заднюю поверхность голени, боковую или подошвенную поверхность стопы | Задняя поверхность голени, латеральная или подошвенная поверхность стопы | Разгибание бедра, сгибание в коленном суставе, подошвенное сгибание стопы |
| S2-S3-S4 | Боль в крестцовом отделе позвоночника или в ягодичной области,иррадиирующая по задней поверхности бедра или в промежность | Медиальная поверхность ягодицы, промежность и перианальная область | Возможна минимальная слабость в сочетании с недержанием кала и мочи, а также с сексуальной дисфункцией |
У части пациентов, у которых боли в спине на основании клинических признаков рассматриваются как неспецифические, могут быть пропущены важные находки. В исследовании установлена следующая вероятность:
- опухолевое или метастатическое поражение позвоночника — 0,7%
- компрессионный перелом — 4%
- инфекционное поражение позвоночника — 0,01%*
Однако, последствия тревоги пациентов от выявленных малозначимых дегенеративных изменений, а также вред от напрасно выполненных нейрохирургических вмешательств, зачастую бывают опаснее.
Если МРТ противопоказана, исследование можно заменить компьютерной томографией. Это метод, основанный на обработке серии рентгеновских изображений, удовлетворительно оценивает межпозвонковые диски. В сомнительных случаях возможно проведение КТ миелографии — контрастного исследования формы спинномозгового канала.
Источник
Болевой синдром в области позвоночника различной степени выраженности всегда должен стать поводом для обращения к врачу и проведения качественной диагностики. Благодаря МРТ и КТ удается выявить изменения в структурах позвоночного столба даже на начальном этапе развития, когда они успешно корректируются с помощью терапевтических и малоинвазивных мероприятий. Доступность и неинвазивность данных методов исследования давно сделала их обследованиями номер один при выявлении вертеброгенной патологии.
Причины болей в спине
Наиболее частые причины болей в области спины и поясницы − это заболевания самого позвоночника и окружающих его тканей, реже патологии внутренних органов.
Патологии, из-за которых возникает боль в спине, следующие:
-
остеохондроз, межпозвонковые грыжи, спондилоартроз, спондилолистез;
-
искривления позвоночника и нарушения осанки (сколиоз, усиленный кифоз или лордоз);
-
травмы спины, особенно сопровождающиеся переломами или смещением позвонков;
-
патология мышц (миозит);
-
онкологический процесс, в том числе метастатического характера;
-
врожденные патологии развития (сакрализация, люмбализация, незаращение дужек и др.);
-
воспалительные, в том числе аутоиммунные заболевания (спондилит, болезнь Бехтерева).
Также боль могут спровоцировать болезни органов грудной клетки или брюшной полости. В некоторых случаях кардиологическая патология проявляется болями в левой половине спины или под лопаткой, а изменения в легких характеризуются симптомами в межлопаточной области или правой половине спины.
Почему болит под лопаткой
Появление боли в межлопаточной области, под правой или левой лопаткой – достаточно частая причина обращения пациентов к врачу неврологу или травматологу. Чаще всего такие неприятные ощущения в спине возникают во время сна или по утрам. Затем в течение дня боль может исчезать и снова возобновляться после отдыха.
Основная причина таких болей в лопатке − это остеохондроз позвоночника и нарушения осанки. Обычно эти патологии возникают у людей, ведущих малоподвижный образ жизни или работающих в течение дня в положении сидя и испытывающих перенапряжение мышц спины (бухгалтера, системные администраторы, швеи). Редко боли под лопаткой связаны с патологией легких воспалительного или деструктивного генеза. При наличии резких болей в левой лопатке всегда следует исключать заболевание сердца.
В любом случае боль в лопатке и спине требует обращения к врачу и проведения качественной диагностики. Ведь за таким на первый взгляд несущественным симптомом могут скрываться более серьезные патологии: грыжа межпозвонкового диска, спондилит или новообразование.
Если болит позвоночник, к какому врачу обращаться?
При наличии боли в области поясницы или спины следует обратиться к терапевту, неврологу или ортопеду-травматологу. Врач на основании данных объективного осмотра сможет предположить, какая именно патология у конкретного пациента. В этом ему поможет анализ характера, продолжительности и локализации болей в спине, с чем они связаны и когда возникают. Также потребуется проведение дополнительных методов исследования.
В ходе обследования может понадобиться привлечение и других профильных специалистов. При болевом синдроме в левой половине грудной клетки и выявлении кардиологической патологии нужна консультация кардиолога. Если есть подозрение на патологию легких, потребуется посетить пульмонолога.
Основные методы диагностики болей в спине
Для установления точной причины боли в области спины применяются следующие методики:
-
рентгенография позвоночного столба;
-
компьютерная томография;
-
магнитно-резонансная томография.
Рентген позвоночника является недорогим и доступным любому пациенту методом обследования. Современные цифровые рентген-аппараты позволяют получать изображения в считанные секунды и при этом обладают небольшой лучевой нагрузкой. Но, к сожалению, обычная рентгенография, выполняемая в поликлинике, часто малоинформативна, она выявляет только костную патологию − переломы или трещины.
Определить точную причину болей и поставить правильный диагноз помогут высокоточные методики исследования, такие как КТ или МРТ. С помощью томографии можно диагностировать любые болезни позвоночного столба и межпозвонковых дисков. Наиболее часто для диагностики болей в спине, в лопатке или пояснице все же назначают МРТ. Это связано с безопасностью метода, его можно проводить даже детям и беременным на поздних сроках.
При подозрении на патологию внутренних органов, как причину боли в спине, обязательными обследованиями являются рентгенография органов грудной клетки, ультразвуковое сканирование брюшной полости. Обязательно нужно делать электрокардиографию, если есть боль в левой части груди и под лопаткой. Для дифференцирования воспалительной или онкологической патологии требуется проведение лабораторных анализов (общеклинического анализа крови, онкомаркеров).
Если болит спина, нужно ли делать МРТ или КТ
Данные методы исследования позволяют с высокой достоверностью установить причину боли в спине. С помощью томографии получают послойные изображения тканей позвоночника, причем толщина среза составляет всего несколько миллиметров. Благодаря полученным данным врач диагностирует заболевание на ранней стадии развития и назначит лечение, которое будет максимально эффективным.
Какой из методов диагностики наиболее информативен, КТ или МРТ, зависит от клинической картины заболевания и предполагаемой причины боли в области спины. Компьютерная томография наиболее показательна в отношении заболеваний костной ткани: спондилитов, спондилолистезов, деструктивных патологий, в том числе онкологических. Также КТ часто делают при боли после травм для выявления переломов, определения смещения костных отломков.
Современные мультиспиральные томографы достаточно хорошо визуализируют межпозвонковые диски, спинной мозг с выходящими из него корешками, окружающие позвоночник мышцы и связки. В диагностическом центре «Медицина Северной Столицы» обследование делают на 16-срезовом мультиспиральном томографе SIEMENS, обладающим минимальной лучевой нагрузкой и высокой точностью сканирования.
Магнитно-резонансная томография более информативна при необходимости визуализации мягких тканей. В отличие от КТ, она лучше выявляет причину болей вследствие изменений в межпозвонковых дисках и спинном мозге. Даже без введения контраста МРТ отображает патологические очаги в мышцах и связках спины. К тому же такая томография не связана с ионизирующим излучением, а потому абсолютно безопасна для пациента. Наибольшей диагностической ценностью обладают снимки, полученные на высокопольном томографе. В центре «МСС» установлен именно такой аппарат SIEMENS мощностью в 1,5 Тл.
Кому показана томография
Основанием для проведения томографии является любая боль в спине, свидетельствующая о проблемах в области позвоночника. Особенно показано обследование в случае:
-
хронической боли в области лопатки или поясницы;
-
если боль в лопатке или спине плохо купируется обезболивающими препаратами;
-
определяется гипертонус мышц грудного или поясничного отдела позвоночника;
-
выявляются другие неврологические расстройства на фоне боли в спине: онемение участка конечностей, нарушение движений, парестезии;
-
имеются нарушения функции тазовых органов:
-
при наличии косвенных признаков онкологического процесса (слабость, анемия, изменения в анализах крови).
Как пройти обследование и что для этого нужно
Для проведения компьютерной томографии потребуется посетить врача и получить у него направление на обследование. В случае МРТ направление не обязательно, достаточно иметь с собой результаты ранее проведенной диагностики и консультативное заключение врача. В центре «Медицина Северной Столицы» их просмотрит врач лучевой диагностики, который порекомендует необходимый объем исследования и подберет нужный режим сканирования.
Записаться на обследование в центр «МСС» можно по телефону, указанному на официальном сайте. Опытный сотрудник проинформирует по всем вопросам касательно процедуры томографии, у него же можно уточнить цены на обследование. В среднем цена на КТ позвоночника составляет 2700 рублей, МРТ позвоночника обойдется чуть дороже − 3300 рублей. Стоимость обследования в центре «Медицина Северной Столицы» немного ниже, чем в других больницах Санкт-Петербурга, что связано с действующей на данный момент акцией.
Источник







