Боль — характерный признак многих заболеваний. Но это и весьма общее понятие. Она может быть острой, тянущей, пульсирующей, слабовыраженной, ноющей. Различны и локализации болевого синдрома. Он является верным признаком того, что в организме что-то не в порядке. Но не всегда неспециалисту по одному только ощущению боли можно понять, какой орган «сигнализирует» о проблеме.
Могут ли болеть легкие со стороны спины? Как проявляется этот симптом? О каких заболеваниях он может говорить? На эти и другие важные вопросы мы дадим ответы в статье.
Возможна ли самодиагностика?
Болят легкие со спины, температуры нет. О чем может говорить подобное состояние? Чтобы выявить причину симптома, важно учесть не только факт его наличия, но и целый ряд характеристик:
- Интенсивность боли.
- Локализация.
- Характер боли.
- Длительность болевых ощущений.
- Связь этого симптома с другими состояниями — кашель, вдох/выдох, определенные движения.
- Температура тела, кашель, выделения из респираторных путей и другие симптомы.
Почему сложно самостоятельно определить причину?
Могут ли болеть легкие со стороны спины? Как правило, ответ на такой вопрос может дать только доктор. Неспециалист легко может принять «блуждающие» боли в позвоночнике за боли в легких. Также возможно легко спутать симптомы легочного заболевания с симптомами ишемической болезни сердца.
Поэтому в данном случае самодиагностикой заниматься не следует. Если болит низ легких со стороны спины, самое лучшее решение — как можно скорее обратиться к терапевту. Он верно определит причину.
Главные причины боли
Кажется, что болит легкое со спины слева или справа? Основные причины болевого синдрома следующие:
- Остеохондроз.
- Межпозвоночная грыжа.
- Воспаление легких.
- Плеврит.
- Туберкулез легких.
- Развитие опухоли.
- Межреберная невралгия.
Как вы видите, причин синдрома более чем достаточно. Отчего не стоит заниматься самодиагностикой и самолечением. Самый правильный выбор — скорее обратиться к врачу. Ведь от любого заболевания проще избавиться, когда оно на самой начальной стадии.
Болит легкое справа со спины? Рассмотрим подробнее главные причины этого симптома.
Пневмония, плеврит, туберкулез
Могут ли болеть легкие со стороны спины? Многие задают этот вопрос, опасаясь пневмонии. Действительно, подобная локализация болевых ощущений прежде всего свидетельствует о легочном заболевании.
Как болят легкие со стороны спины во время пневмонии? Главная коварность этой опасной болезни в том, что она долго ничем не проявляет себя. То есть, при воспалении легких человек не ощущает боли. Она появляется только в том случае, когда к пневмонии присоединяется плеврит или миозит.
Помимо болевого синдрома, определяющими признаками болезней легких является следующее:
- Стойкая повышенная температура.
- Общая слабость, повышенная утомляемость.
- Сильный, изматывающий кашель.
- Возможна одышка.
- При кашле болят легкие со стороны спины. Притом это не сильная боль, а лишь неприятные покалывания. Могут также ощущаться при глубоком вздохе.
Доктор определяет болезненность как раз-таки со стороны спины пальпацией (прощупыванием). Просит пациента глубоко вздохнуть и выдохнуть. Тут проводится и аускультация (прослушивание легких). При пневмонии слышен хруст, легкое потрескивание, звуки, напоминающие трение.
Плевральные же боли опасны тем, что могут свидетельствовать о начале развития туберкулеза. Каковы симптомы, как болят легкие со спины? В данном случае боль будет локализоваться в их верхней части. То есть, в области спины больной будет ощущать ее в районе трапецевидной мышцы.
Чтобы диагностировать воспаление легких, нужна рентгенография. При подозрении на туберкулез необходимы специфические пробы на выявление возбудителя инфекции.
При воспалении легких назначается консервативная комплексная терапия. В первую очередь, это прием препаратов-антибиотиков с цефазолином, ампициллином, оксациллином. Назначаются и противокашлевые средства, лекарства, способствующие разжижению мокроты и ее выведению из дыхательных путей. Это «Амбробене», «Бромгексин», «Либексин».
Чтобы снизить температуру, больному назначается «Аспирин», «Парацетамол». Если болевой синдром интенсивный, то дополнительно выписываются средства-анальгетики.
Онкологические заболевания
В каких случаях болит правое легкое со спины? Это может свидетельствовать и о злокачественном новообразовании. Рак легких опасен тем, что долгое время он протекает бессимптомно. А уже появившуюся боль неспециалисту легко можно спутать с позвоночной.
Дополнительно недуг проявляет себя следующим:
- Затяжной кашель с выделением мокроты, в которой видны вкрапления крови (такой же симптом может наблюдаться и при туберкулезе).
- Тяжелое дыхание, одышка.
- Слабость.
- Усиленное потоотделение.
- Ухудшение общего состояния.
- Периодически высокая температура тела.
- Стремительная потеря веса.
Диагностика в этом слечае состоит в снятии рентгенограммы, биопсии, МРТ, КТ, бронхоскопии. По результатам этих процедур назначается консервативное, хирургическое лечение.
Воспаление мышц
Боль в спине на уровне легких может говорить о воспалении мышечной ткани. Причина — в переохлаждении, травмировании, неправильном распределении нагрузки на мышцы. Здесь может казаться, что болят именно легкие. Болевой синдром усиливается при движении. Но нередко боль постоянна. При нажатии на воспаленную мышцу чувствуется, что она спазмирована.
Несвоевременное лечение чревато слабостью, а затем и атрофией мышцы. В качестве терапии назначаются обезболивающие и противовоспалительные средства, ЛФК и массаж (по прошествии обострения).
Остеохондроз
Могут ли болеть легкие со стороны спины? Нередко боль, локализующаяся именно в области легких, является по своей природе позвоночной. В частности, говорит об остеохондрозе, поразившем грудной отдел позвоночного столба. Человек чувствует боль из-за защемления нервных окончаний. Ее неспециалист легко может спутать с легочной.
Как понять, что причина именно в остеохондрозе? Болевой приступ настигает человека при наклонах, поднятии тяжестей, резких поворотах туловища. Боль также может стать интенсивной при глубоком вдохе.
Как правило, болевой синдром в данном случае купируется принятием НПВС (то есть, нестероидного противовоспалительного средства). Иногда человеку достаточно просто полежать, чтобы боль прошла.
Но по одному только симптому специалист, конечно, не выявляет остеохондроз. Чтобы поставить этот диагноз, необходимы следующие процедуры:
- Магнитно-резонансная томография.
- Рентген позвоночного столба.
- При необходимости — компьютерная томография.
Что касается лечения этого заболевания, то доктор прописывает пациенту индивидуальную комплексную терапевтическую схему. Как правило, она включает в себя противовоспалительные средства («Диклофенак», «Ортофен», «Вольтарен»), лекарства, купирующие сам болевой синдром («Спазмалгон», «Триган», «Спазган»). Облегчить состояние пациента нередко помогает лечебный массаж, специальная физкультура.
Ишемическая болезнь сердца
Могут ли болеть легкие со стороны спины? Такая боль, локализующаяся в области грудного отдела позвоночника, нередко говорит о другой проблеме. Это ишемическая болезнь сердца (ИБС). Она нередко может отдавать в область легких, под лопатку и в левую руку.
Таким образом проявляет себя не только ИБС, но и стенокардия, а также инфарктные и предынфарктные состояния. Поэтому подобный опасный для жизни и здоровья симптом не стоит оставлять без внимания. Ведь несвоевременное оказание квалифицированной медицинской помощи может вести за собой печальные последствия.
Проблемы с сердцем проявляют себя не только болью со стороны спины на уровне легких. Дополнительными симптомами здесь будут следующие:
- Сильная боль, которая не устраняется самостоятельно.
- Бледные кожные покровы.
- Усиленное потоотделение.
- Затрудненное дыхание.
- Учащенный пульс.
- Состояние тревоги, паники.
В данном случае необходимо вызвать «Скорую помощь». Любое промедление может стоит человеку жизни.
Диагностика ИБС нередко осложняется — наблюдаются и атипичные течения болезни. Это чревато и тем, что они могут сопровождаться рядом осложнений — аритмия, аневризма, кардиогенный шок.
Невралгия
Еще одна причина — межреберные невралгии. В данном случае болевой синдром может «обманывать» неспециалиста. Например, боль с правого бока может отдавать в левую переднюю часть грудной клетки. Или начать пульсировать под левой лопаткой.
Невралгию определяют пальпацией по ходу нерва. В месте воспаления возможно онемение, потеря чувствительности. В качестве лечения назначаются обезболивающие наружные средства, пероральные противовоспалительные препараты и лечебный массаж.
Проведение диагностики
Если болит правое легкое со стороны спины, не стоит думать, что это верный признак саркомы или пневмонии. Важно прислушаться к особенностям боли, ее зависимости от определенных состояний.
Первым делом специалист определяет характер боли. Это позволяет сделать предположения о диагнозе, оценить чувствительность организма. Доктор всегда просит пациента рассказать о протекании болевого синдрома. Усиливается ли он при вдохе или выдохе. Отдает ли боль в шею, живот, поясницу или область грудной клетки. На основе этого можно судить, в легких ли причина боли, или в других органах и системах.
Когда это не связано с легкими?
Если дело в позвоночных проблемах, то боль будет усиливаться при движении, натуживании и даже при склонении головы. Так проявляют остеохондрозы, позвоночные грыжи.
За боль в легких неспециалист может принять проявление миозита спинных мышц. При прощупывании можно заметить, что они напряжены. На самом месте локализации боли может появиться небольшая припухлость. Нередко оно теплее, горячее других участков тела. При миозите боль может беспокоить с утра, в ночные часы, усиливаться при физических нагрузках и пальпации воспаленного участка.
Если болевой синдром вызван сдавливанием нервных окончаний, то дополнительно может ощущаться следующее:
- Чувство покалывания в кончиках пальцев, ощущение, что они немеют.
- Бледность (иногда наблюдается «мраморная» кожа) кожных покровов.
- Слабость в мышцах.
- Низкий порог чувствительности нижних конечностей.
Если вы отмечаете у себя это вместе с болью в области легких со стороны спины, то дело совершенно в другой проблеме. Так проявляет себя остеохондроз, различные грыжи, травмы позвоночника, остеопороз, спондилоартрит, искривления позвоночного столба. Можно говорить и о развитии онкологических заболеваний — нередко именно опухоли пережимают собой нервные окончания.
Боль в спине со стороны легких, как вы убедились, наблюдается при разных патологиях. Поэтому самодиагностика и самолечение могут привести здесь к печальным последствиям. С такой жалобой нужно как можно скорее обратиться к специалисту.
Источник
Характерным симптомом любого заболевания является боль, которая может быть от слабовыраженной до непрекращающейся. Если у человека болит спина в области легких, то он начинает беспокоиться и обращается к врачу. Такое решение очень правильно, ведь боль в области спины может указывать на различные заболевания, начиная от проблем с позвоночником и заканчивая злокачественными новообразованиями.
Для того чтобы выявить причину появления боли в области легких, необходимо учитывать ее интенсивность, характер, локализацию, длительность и взаимосвязь с определенными действиями (кашель, гипертермия, движение и т.д.). Нередко пациенты принимают позвоночные боли за легочные заболевания или проявление ИБС (ишемической болезни сердца), поэтому дифференциальной диагностикой и дальнейшим лечением должен заниматься непосредственно лечащий врач.
Возможные причины появления боли
Причин образования болей может быть несколько. Отличительной особенностью позвоночных болей является их усиление при двигательной активности, натуживании, а также при наклоне головы.
Кроме того, боль может сопровождать развитие миозита спинных мышц. В этом случае мышцы спины сильно напряжены, отмечается небольшая гиперемия и легкая припухлость воспаленного участка. При этом боль чаще всего возникает утром, после ночного сна и усиливается при пальпации и физических нагрузках
В том случае, когда боль в области спины сопровождается одышкой, кашлем, высокой температурой тела, которая появляется ближе к вечеру, необходимо исключить патологические процессы в легочной системе.
Болевой симптом в районе легких сзади может возникнуть вследствие:
- остеохондрозов;
- межпозвоночных грыж;
- плеврита;
- воспаления легких;
- развития туберкулеза;
- опухолевидных образований;
- межреберных невралгий и т.д.
Причины могут быть весьма разнообразны, поэтому перед тем, как начать прием обезболивающих препаратов и других способов самостоятельного лечения, необходимо обратиться к высококвалифицированному специалисту для проведения более тщательной диагностики.
Клиническая симптоматика
Симптоматика заболевания позволяет понять причины появления болей со стороны легких. Этот этап очень важен для выполнения дальнейшей терапии.
Первоочередно выявляется характер боли, которая может проявляться в результате непосредственно самого заболевания, повышенной чувствительности организма и других сопутствующих причин.
Боли могут усиливаться при вдохах и кашле, а также иррадиировать в живот, область грудной клетки или шею. На основании определения болевого синдрома выявляются другие признаки, сопутствующие этому состоянию. В том случае, когда боль вызвана заболеваниями позвоночной системы (остеохондрозы, позвоночные грыжи и т.д.), болевой симптом напрямую связан с двигательной активностью.
На сдавливание нервных окончаний указывают следующие симптомы:
- легкое покалывание в кончиках пальцев и онемение;
- бледность, мраморность кожных покровов;
- низкий порог чувствительности в конечностях;
- мышечная слабость.
 Онемение рук и покалывание в пальцах при сдавлении нерва
Подобная симптоматика присутствует при различных патологических состояниях позвоночника, включающих не только грыжи и остеохондроз, но и спондилоартрит, травмы, остеопорозы, искривления позвоночника, онкологические новообразования и т.д. Заболевания позвоночника подтверждаются диагностикой в 50% всех случаев.
Дифференциальная диагностика
Для определения причины возникновения негативной симптоматики необходимо проведение дифференцированной диагностики, на основании которой определяется дальнейшая тактика лечения:
1. При развитии остеохондроза
При поражении грудного отдела позвоночника в результате остеохондроза, а также межпозвоночных грыж, боль в области легких в спине провоцируется защемлением нервного окончания и довольно часто напоминает некоторые внутренние заболевания.
Болевой приступ возникает при поднятии тяжестей, наклоне, поворотах туловища и глубоких вдохах. Боль купируется после принятия НПВС, а также при отдыхе лежа. Для проведения диагностики используется рентгенологическое исследование, МРТ, а при необходимости КТ (компьютерная томограмма).
 Рентгенограмма нарушений позвоночника в результате остеохондроза
Для лечения остеохондроза требуются комплексные мероприятия, включающие в себя противовоспалительные средства (Ортофен, Диклофенак, Вольтарен и т.д.), обезболивающие (Триган, Спазган, Спазмалгон и т.д.), а также массаж и лечебная физкультура.
2. При ИБС
В том случае, когда боль локализуется в области груди с иррадиацией в область легких, под лопатку и левую руку, необходимо исключить заболевания сердечно-сосудистой системы (предынфарктного или инфарктного состояния, а также стенокардии). Эти патологические состояния являются крайне опасными, и при неоказании своевременной помощи могут привести к гибели пациента.
Характерными признаками ИБС считаются:
- сильная, непрекращающаяся боль;
- бледность кожных покровов;
- повышенное потоотделение;
- затрудненный вдох и учащенный пульс;
- тревожное состояние.
 Диагностика стенокардии напряжения
В резких случаях может встретиться атипичное течение ИБС, что затрудняет диагностику и могут осложняться различного вида осложнениями (аритмиями, кардиогенным шоком и аневризмой).
3. При плеврите и воспалении легких
Если начинают болеть легкие в области спины, необходимо исключить заболевания легочной системы. Характерно, что боль при развитии пневмонии вызвана исключительно присоединением миозитов или плевритов.
При этом, помимо болевого симптома, наблюдаются следующие признаки:
- стойкая гипертермия;
- повышенная усталость и общее ослабление организма;
- покалывания в спине при дыхании, особенно при глубоком вдохе;
- возможна одышка и сильный кашель.
Пальпаторно (прощупыванием) выявляется локальная болезненность в области спины, при аускультации (прослушивании) слышны крепитация (легкое потрескивание, хруст), а также шумы, напоминающие трение. Плевральные боли нередко сопровождают развитие туберкулеза. При этом боль локализуется в верхней части легких, а в области спины отмечается боль в области трапециевидной мышцы.
 Выслушивание легочных хрипов
Диагностика заключается в проведении рентгенографии, а при туберкулезе выполняется ряд специальных проб на определение специфического возбудителя. Лечебные мероприятия при заболеваниях легких заключаются, прежде всего, в антибиотикотерапии (Ампициллин, Цефазолин, Оксациллин и т.д.), а также противокашлевых средств и препаратов для разжижения и выведения мокроты из легких (Либексин, Бромгексин, Амбробене и т.д.).
Кроме того, для снижения температуры может назначаться Парацетамол или Аспирин, а также обезболивающие препараты. Лечение пневмонии требует комплексного подхода с выполнением реабилитационного периода, направленного на восстановление иммунной защиты организма.
4. При злокачественных новообразованиях
При появлении легочных болей в области спины не следует исключать возможность злокачественного новообразования. Тяжесть диагностики заключается в позднем обращении за медицинской помощью, так как до определенного времени болезнь протекает бессимптомно.
Признаки новообразования практически не отличаются от типичной картины болезней позвоночника.
При этом отмечаются:
- продолжительный кашель с выделением мокроты, в которой присутствуют прожилки крови (аналогичный симптом бывает и при туберкулезе легких);
- затрудненное дыхание, сопровождаемое одышкой;
- повышенное потоотделение и слабость;
- периодическая гипертермия;
- ухудшение общего состояния и наступление кахексии (истощения).
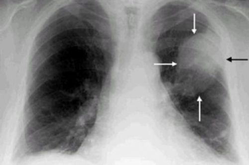
Четкую картину злокачественного новообразования позволяет выявить рентгенографическое исследование и биопсия (забор пораженной ткани на определение злокачественности). При необходимости назначаются МРТ, КТ, бронхоскопия и т.д. От проведенной диагностики зависит необходимый объем терапевтического или хирургического вмешательства.
 Рак легкого на рентгеновском снимке
Иногда боли в области спины возникают после удаления части (целого) легкого. При этом дыхательная нагрузка приходится на второе легкое, но при этом возможно развитие сколиотических искривлений позвонков в грудном отделе с последующими протрузиями и грыжами.
5. При мышечном воспалении
Частой причиной образования боли являются воспаления мышц, причинами которых могут стать:
- общее охлаждение организма;
- неправильное распределение нагрузки на мышцы;
- различного вида травмирования и инфекции.
При распространении воспаления на область спинных мышц пациенту может показаться, что присутствует именно боль в области легких, сзади. Болевой симптом усиливается при вовлечении в движения поврежденных мышц. При этом боль может быть постоянной, а при пальпации определяется мышечный спазм.
При несвоевременном оказании помощи возможна слабость, а иногда и полная атрофия мышцы. В качестве лечения назначаются обезболивающие препараты, противовоспалительная терапия, ЛФК и массаж (после снятия острой симптоматики).
6. При невралгии
Достаточно часто причиной появления боли сзади в области легких являются межреберные невралгии, которые даже при отсутствии тяжелой симптоматики способны негативно отразиться на общем самочувствии пациента.
Характерно, что болевой синдром напрямую зависит от локализации патологического процесса, например, при воспалительном очаге справа боль будет присутствовать в правой части спины с иррадиацией в левую сторону (переднюю часть грудной клетки). Заподозрить развитие невралгии можно и при покалывании в лопаточной области при вдохе.
 Локальные боли при межреберной невралгии сильные, подобны прострелу
При пальпации определяется болезненность по ходу нерва, а в зоне воспаления отмечается снижение чувствительности и онемение конечности. При этом важно отличать невралгию от других заболеваний в первую очередь для того, чтобы назначить адекватное лечение, которое включает в себя использование наружных обезболивающих препаратов (мазей, кремов и гелей), противовоспалительных и массажа.
Заключение
Коварство возникновения болевого синдрома в области спины заключается в том, что подобная симптоматика может маскировать многие заболевания, в том числе и позвоночного столба. Многие пациенты не придают особого значения таким проявлениям, ошибочно полагая, что это обычная простуда, что приводит к позднему обращению за квалифицированной медицинской помощью и осложнению ситуации.
Однако правильный диагноз может установить только врач, после выполнения полной диагностики и лабораторных анализов, на основании чего в дальнейшем назначаются адекватные терапевтические мероприятия. Поэтому крайне важно, когда болят легкие со спины, незамедлительно обратиться в медицинское учреждение. Это позволит предупредить тяжелые, а в некоторых случаях и летальные, последствия для больного.
Источник










 
							
							
						 
							 
